Parodontologie

Le Jeudi 11 décembre 2025

Animée par le Dr Kevimy AGOSSA

L’ objectif de cette formation est d’aider le praticien à s’orienter face à différents tableaux cliniques illustrés organisés en six modules ulcérations, lésions blanches, troubles pigmentaires, accroissements gingivaux, anomalies vasculaires et anomalies des lèvres .

Ce que disent les participants :
« Un conférencier très brillant ? une journée très intéressante »
« La preuve que la paro fait partie du rôle de l’omnipraticien »

Taux de satisfaction : 97%

Participants : Dentistes 69

Etudiants 22

 

Docteur Jean-Pierre JOSEPH
Président ADFOC31

DERMATOLOGIE BUCCALE EN OMNOPRATIQUE

Le Jeudi 6 novembre 2025

Animée par le Dr Emmanuelle VIGARIOS

L’ objectif de cette formation est d’aider le praticien à s’orienter face à différents tableaux cliniques illustrés organisés en six modules ulcérations, lésions blanches, troubles pigmentaires, accroissements gingivaux, anomalies vasculaires et anomalies des lèvres .

Ce que disent les participants :
« Une présentation très complète et précise »
« une journée qui donne envie de progresser »

Taux de satisfaction : 97%

Participants : 50 chirurgiens-dentistes , 7 étudiants

                           

Docteur Jean-Pierre JOSEPH
Président ADFOC31

LES PROTHÈSES SUPRA IMPLANTAIRES AMOVIBLES OU FIXÉES

Le Jeudi 20 FÉVRIER 2025

Animée par le Dr Olivier FROMENTIN

Le Professeur FROMENTIN nous a apporté son expertise sur les prothèses supra implantaires, de la décision thérapeutique jusqu’aux conseils à prodiguer à nos patients. Ce fut un grand tour d’horizon de ce vaste sujet qui était une formation DPC

Ce que disent les participants :
« Une présentation très complète exposée clairement »
« Très bonne ambiance, merci pour cette journée »

Taux de satisfaction : 97%

Participants : 82 Chirurgiens-Dentistes, 15 Étudiants et un prothésiste 

Docteur Jean-Pierre JOSEPH
Président ADFOC31

LA CHIRURGIE ORALE AU CABINET

Le Jeudi 6 FÉVRIER 2025

Animée par le Dr Rafaël TOLEDO et Mme Catherine SAURY

Merci à nos deux conférenciers pour cette journée d’échanges avec le Dr Rafaël TOLEDO ARENAS et Madame Catherine SAURY.

Beaucoup de générosité dans la transmission des connaissances par un binôme de choc qui nous a présenté ses astuces de fonctionnement. Une très belle illustration de ce qui peut être mis en place pour un travail ensemble dans un esprit de confiance et de partage des tâches pour le bien-être du patient.

Ce que disent les participants :
« Une très bonne idée d’associer Chirurgiens-Dentistes et Assistantes »
« Très bonne ambiance, merci pour cette journée »

Taux de satisfaction : 96%

Participants : 25 Chirurgiens-Dentistes, 25 Assistantes Dentaires et 6 Étudiants

Docteur Jean-Pierre JOSEPH
Président ADFOC31

DERMATOLOGIE BUCCALE EN OMNIPRATIQUE

Le Jeudi 5 DÉCEMBRE 2024

Animée par le Dr Emmanuelle VIGARIOS

Reconnaître une lésion élémentaire, évoquer des diagnostics différentiels, connaître les différents examens complémentaires utiles au diagnostic ou proposer une thérapeutique sont autant de sujets abordés au cours de cette journée.

Ce que disent les participants :
« Une formation indispensable qui donne la mesure de nôtre responsabilité dans le dépistage »
« Merci pour cette formation qu’il faudrait proposer plus souvent »

Taux de satisfaction : 96%

Participants : 70 Chirurgiens-dentistes et 16  étudiant(es)

Docteur Jean-Pierre JOSEPH
Président ADFOC31

LE SYNDROME D'APNÉE DU SOMMEIL ET LES ORTHÈSES D'AVANCÉE MANDIBULAIRE

Soirée du 10 OCTOBRE + Soirée du 7 NOVEMBRE 2024

Animée par les Dr Éric SOLYOM et Philippe JOURDAN

Le Dr SOLYOM Chirurgien Maxillo Facial a développé les traitements chirurgicaux et les différentes prises en charge après le diagnostic du SAHOS.

Le Dr JOURDAN a traité de la réalisation au cabinet dentaire des orthèses d’avancée mandibulaire. Les étapes cliniques ont été abordées « step by step » dans un exposé très didactic.

Ce que disent les participants :
« Merci à l’ADFOC 31 d’avoir invité les étudiantes et les étudiants »

Taux de satisfaction : 96%

Participants : 28 Chirurgiens-Dentistes et 34 étudiants

Docteur Jean-Pierre JOSEPH
Président ADFOC31

BOOSTER SES FLUX DE TRAVAIL NUMÉRIQUES

Le Jeudi 20 JUIN 2024

Animée par le Dr Karim NASR

Merci Karim pour cette magnifique conférence sur le flux numérique qui boost notre activité.
Merci à nos partenaires : Dentsply, Schein, Gorizz, Modjaw et Biotech qui ont animé l’après-midi, consacrée à la pratique.

Ce que disent les participants :
« Une très bonne idée de limiter à 20 le nombre de participants pour faciliter les échanges »
« Une mise au point à faire régulièrement vue la vitesse de l’innovation technologique.

Taux de satisfaction : 97%

Participants : 20

Docteur Jean-Pierre JOSEPH
Président ADFOC31

LE COLLAGE EN OMNIPRATIQUE

Le Jeudi 21 MARS 2024

Animée par le Dr Olivier ÉTIENNE

Ce fut une journée exceptionnelle, comme d’habitude avec Olivier ÉTIENNE, la recherche est toujours au service de la clinique.
Conférencier particulièrement brillant Olivier sait transmettre ses connaissances et son goût pour l’excellence.
Les échanges furent nombreux et nous sommes repartis avec des notions précises sur le collage et le désir d’améliorer nos pratiques.

Ce que disent les participants :
« Merci pour cette journée je me sens plus confiant »
« Une mise au point à faire régulièrement »

Taux de satisfaction : 98%

Participants : 58

Docteur Jean-Pierre JOSEPH
Président ADFOC31

LA PRESCRIPTION MÉDICAMENTEUSE EN ODONTOLOGIE

Le Jeudi 29 FÉVRIER 2024

Animée par le Dr Vianney DESCROIX

Un petit groupe autour d’un conférencier d’exception, des échanges de qualité, cette MasterClass fut une journée exeptionnelle. Les participants ont eu à leur disposition l’ensemble des règles de bon usage des médicaments nécessaires à l’exercice de la médecine bucco-dentaire.

Ce que disent les participants :
« merci pour ce cours particulier »
« une mise à jour indispensable pour exercer en toute sécurité »
« l’humour du conférencier fait passer de nombreux messages »

Taux de satisfaction : 97%

Participants : 27

Docteur Jean-Pierre JOSEPH
Président ADFOC31

L'HYPNOSE MÉDICALE AU CABINET DENTAIRE

UNE PREMIÈRE APPROCHE

Le Jeudi 7 DÉCEMBRE 2023

Animée par le Dr Vianney DESCROIX

Cette formation avait pour objet de proposer une première approche pratique de l’hypnose et de ses indications, d’en découvrir les fondements neurologiques et psychologiques, d’en étudier les principales indications en médecine bucco-dentaire.

Ce que disent les participants :
« un conférencier captivant »
« la découverte d’un univers »
« merci de prévoir une formation pratique »

TAUX DE SATISFACTION 96 %

Participants : 34

 : 

Docteur Jean-Pierre JOSEPH
Président ADFOC31

LA SANTÉ ORALE DE L'ENFANT ET DE L'ADOLESCENT

TOUT CE QU'IL FAUT INTERCEPTER

Le Jeudi 16 NOVEMBRE 2023

Animée par le Dr Élisabeth DURSUN

Dans cette journée il à été envisagé toutes les pathologies que le jeune patient peut rencontrer lors de deux grandes périodes : celle en denture temporaire puis celle en denture mixte et permanente via une présentation structurée puis des discussions autour de cas cliniques, a permis de répondre aux questions saillantes que les praticiens se posent au quotidien, mais aussi d’attirer l’attention sur certains points méconnus, pourtant notables, dans la prise en charge des jeunes patents.

Ce que disent les participants :
« merci pour cette journée, ça fait du bien de revoir les bases »
« quel plaisir de se retrouver, merci l’Adfoc31 « 

TAUX DE SATISFACTION  : 96%

Participants : 29

Docteur Jean-Pierre JOSEPH
Président ADFOC31

RÉHABILITATIONS PROTHÉTIQUES DE GRANDES ÉTENDUES

DE L'ANALYSE A LA MISE EN ­­ŒUVRE

Le Jeudi 12 OCTOBRE 2023

Animée par le Dr Antonin HENNEQUIN et le Professeur Florent DESTRUHAUT cette journée exceptionnelle était une formation agréée  DPC. Nous étions 75 à participer à cette formation de haut niveau que nos deux conférenciers ont sus rendre abordable et passionnante.
La première partie fut consacrée à l’analyse des critères occluse-architecturaux dans les réhabilitations orales de grandes étendues.
Une deuxième partie était consacrée à la mise en œuvre des prothèses transitoires aux prothèses d’usages de grandes étendues.
La troisième partie traitait de la réussite des prothèses implantaires.

Grace à des QCM en directe avec l’application « Socrative » la journée fut constamment animée et ludique ; ce fut une grande réussite.

Ce que disent les participants :
« une formation de très haut niveau »
« un duo très bien rodé »

TAUX DE SATISFACTION  : 96%

Participants : 75

Docteur Jean-Pierre JOSEPH
Président ADFOC31

ERGONOMIE et POSTUROLOGIE GESTES ET POSTURE AUTOUR DU FAUTEUIL

GESTES ET POSTURE AUTOUR DU FAUTEUIL

Le Jeudi 21 SEPTEMBRE 2023

Jean-Philippe VERGNES spécialiste en évaluation ergonomique a animé cette soirée avec une énergie communicative qui a galvanisé l’assistance. Chirurgiens-Dentistes, Assistantes et Étudiants ont répondu présent, nous étions 43 autour du fauteuil installé par la Société Gorriz.
Les règles de postures pour les dentistes et les assistantes ont été expliquées par des mises en situation. Espérons que les étudiants présents prendront de bonnes habitudes dès le début de leurs exercices.
Nous nous sommes retrouvés autour du fauteuil pour suivre des démonstrations et apprendre les bonnes postures.

Un Cocktail Dînatoire a conclu cette soirée

Ce que disent les participants :
« un conférencier super dynamique »
« une formation qui devrait faire partie de la formation initiale »

TAUX DE SATISFACTION  : 92%

Participants : 39

Docteur Jean-Pierre JOSEPH
Président ADFOC31

LA PRESCRIPTION MÉDICAMENTEUSE EN MÉDECINE BUCCO-DENTAIRE :

IDENTIFIER LES RISQUES MÉDICAUX

Le Jeudi 22 JUIN 2023

Qui mieux, que le Dr Vianney DESCROIX pouvait traiter de la prescription médicamenteuse ? Chirurgien-dentiste et pharmacien, il maîtrise parfaitement ce sujet et l’expose avec humour et précision. 52 consœurs et confrères ont pu échanger avec le conférencier qui fait toujours preuve d’une grande générosité. Un conférencier brillant comme d’habitude, une assistance attentive dans une ambiance joyeuse, ce fut une très belle journée de formation.

Ce que disent les participants :
« un super conférencier très abordable »
« une formation indispensable, à renouveler régulièrement »
« un exposé très clair, bravo »

TAUX DE SATISFACTION  : 95%

Participants : 43

Docteur Jean-Pierre JOSEPH
Président ADFOC31

LA GESTION DU CABINET DENTAIRE : QUELLE ARCHITECTURE JURIDIQUE CHOISIR POUR ÊTRE EFFICACE

Le Jeudi 13 AVRIL 2023

Yorick CHAUVIÈRE et toute l’équipe de la Société D6D sont venus nous apprendre à choisir la bonne stratégie pour mieux gérer notre cabinet dentaire. Optimiser sa fiscalité, ce n’est pas compliqué, c’est déjà passer d’une situation subie à une situation choisie. C’est possible en changeant d’architecture juridique.

Nous avions volontairement limité le nombre de participants à 20 afin de favoriser les échanges et de permettre à chacun de repartir avec une solution personnalisée.

CE FUT UN GRAND SUCCÈS et les échanges furent nombreux autour du buffet en fin de soirée.

Ce que disent les participants :
« formation très nouvelle dans le fond et la forme »
« beaucoup d’informations très pratiques »
« conférencier très dynamique »

TAUX DE SATISFACTION : 90%

Participants : 20

96 % des participants considèrent qu’ils ont acquis de nouvelles connaissances directement applicables

Docteur Jean-Pierre JOSEPH
Président ADFOC31

SAVOIR S'ORIENTER DEVANT UNE ANOMALIE DE LA MUQUEUSE BUCCALE

 Le Jeudi 9 FÉVRIER 2023

Le Dr Emmanuelle Vigarios, praticien spécialiste des Centres de Lutte contre le cancer, a animé cette journée avec la conviction et la compétence des grands conférenciers. Le chirurgien-dentiste est le professionnel de santé le plus à même d’examiner la muqueuse buccale, en pratique courante, un examen négligé ou incomplet peut nous faire passer à côté de précieux indices. 

Au cours de cette journée interactive nous avons abordé la démarche clinique et para clinique permettant d’aboutir à un diagnostic lésionnel à partir de situations cliniques concrètes illustrées. Les étudiants présents ont brillamment participé et ont bien compris la dimension médicale de notre profession.

Ce que disent les participants :
« formation très précise »
« beaucoup d’informations »
« conférencier très pédagogue »

TAUX DE SATISFACTION : 95%

Participants : 27

96 % des participants considèrent qu’ils ont acquis de nouvelles connaissances

Docteur Jean-Pierre JOSEPH
Président ADFOC31

LA DENTISTERIE ADHÉSIVE EN OMNIPRATIQUE : INDICATIONS ET PROTOCOLES CLINIQUES

 Le Jeudi du 8 DÉCEMBRE 2022

Le Dr Olivier ÉTIENNE, conférencier brillant et généreux a fait une mise au point exhaustive sur la dentisterie adhésive.

Nous étions 90 à participer à cette magnifique formation qui entrait dans le cadre du DPC.

Toujours fidèle à l’ADFOC 31, OLIVIER reviendra dans un an pour la suite de cette formation et nous parler d’inlay, d’overlay, de facettes…

Ce que disent les participants :
« conférencier exceptionnel »
« une formation très précise »
« une très bonne formation pour faire le point sur ce sujet »

TAUX DE SATISFACTION : 97%

Participants : 90

Docteur Jean-Pierre JOSEPH
Président ADFOC31

CHIRURGIEN-DENTISTE ET ORTHODONTISTE, UNE COLLABORATION AU SERVICE DE NOS PATIENTS

Le 6 OCTOBRE 2022

Omnipraticiens, Orthodontistes qualifiés et Étudiants étaient présents pour assister à cette journée exceptionnelle consacrée à     l’ODF.

Le Dr Obacch-Dejean, véritable chef d’orchestre d’une équipe composée des Drs Garnaud, Marty et Mengelle, nous ont décliné un panorama complet de l’orthodontie en 2022. Le Dr Solyom, chirurgien Maxillo-Facial indisponible ce jour là était présent en vidéo pour nous exposer la chirurgie orthognathique moderne au service de réhabilitations pluridisciplinaires complexes.

Participants : 33

Taux de satisfaction 90%

Docteur Jean-Pierre JOSEPH
Président ADFOC31

L'ENVIRONNEMENT RÉGLEMENTAIRE DU CABINET DENTAIRE

Le 16 JUIN 2022

25 consœurs et confrères ont participé à cette MasterClass animée par Marc SABEK le spécialiste Français de ce sujet.

Une approche rationnelle fut le point central de la démarche pédagogique de cette journée : ni énumération d’une litanie de règles, ni culpabilisation mais une approche dynamique positive pour intégrer le respect des règles et leur mise en œuvre par une démarche volontaire.

Grâce à ses compétences, sa rigueur et la qualité de son écoute Marc SABEK à su nous captiver ; une expérience à renouveler.

Taux de satisfaction 85 %

Participants : 25

Docteur Jean-Pierre JOSEPH
Président ADFOC31

LES DYSFONCTIONS TEMPORO-MANDIBULAIRES - COURS ET TP

Lundi 28 MARS 2022 & lundi 11 AVRIL 2022

Une formation complète animée par une équipe pluridisciplinaire dirigée par le Docteur Antonin HENNEQUIN

Taux de satisfaction : 87 %

Participants :25

Docteur Jean-Pierre JOSEPH
Président ADFOC31

CAS CONCRETS DE DERMATOLOGIE BUCCALE EN OMNIPRATIQUE

 La dermatologie buccale : le chirurgien dentiste en première ligne !

Soirée du 17 MARS 2022

 

55 praticiens et 25 étudiants étaient présents pour étudier des cas concrets de dermatologie buccale présentés par le Docteur Emmanuelle VIGARIOS.

Ce ne fut pas un cours magistral mais bien une soirée inter active qui a permis à chaque participant d’exprimer son avis, ses doutes et ses demandes à propos de ce sujet primordial. Le chirurgien-dentiste est en première ligne pour examiner et dépister les anomalies de la muqueuse buccale ce qui valorise son exercice et engage sa responsabilité.

Par sa connaissance parfaite du sujet, le Dr VIGARIOS  a su captiver l’auditoire et rendre cette soirée particulièrement instructive et conviviale.

Après 3 heures de formation nous nous sommes retrouvés autour d’un buffet et avons décidé à l’unanimité de reconduire cette formation dans le programme de 2023.

Docteur Jean-Pierre JOSEPH
Président ADFOC31

Taux de satisfaction 95 %

Participants 55 praticiens et 25 étudiants

LES FACTEURS INFLUENTS SUR L'EFFICACITÉ DE LA STÉRILISATION

La stérilisation est la pierre angulaire de notre exercice

Le 27 JANVIER 2022

 

Assistantes et praticiens étaient réunis pour assister au cours du Docteur Patrick BONNE, spécialiste de ce sujet fondamental.

Le but de cette journée était de nous fournir des pistes d’amélioration sur tous les facteurs influents qui peuvent perturber le résultat parfait de la stérilisation.

Un chapitre sur les conditions d’exercice en période d’épidémie a fait le point sur les stratégies à adopter pour travailler en toute sécurité.

Humour et compétence, deux qualités qui caractérisent notre conférencier qui a remporté l’adhésion de toutes les assistantes et de tous les praticiens.

Taux de satisfaction : 85 %

Participants 25 praticiens et 5 assistantes

Docteur Jean-Pierre JOSEPH
Président ADFOC31

BOOSTER SES FLUX DE TRAVAIL NUMÉRIQUES

Le Jeudi 20 JUIN 2024

Animée par le Dr Karim NASR

Merci Karim pour cette magnifique conférence sur le flux numérique qui boost notre activité.
Merci à nos partenaires : Dentsply, Schein, Gorizz, Modjaw et Biotech qui ont animé l’après-midi, consacrée à la pratique.

Ce que disent les participants :
« Une très bonne idée de limiter à 20 le nombre de participants pour faciliter les échanges »
« Une mise au point à faire régulièrement vue la vitesse de l’innovation technologique.

Taux de satisfaction : 97%

Participants : 20

Docteur Jean-Pierre JOSEPH
Président ADFOC31

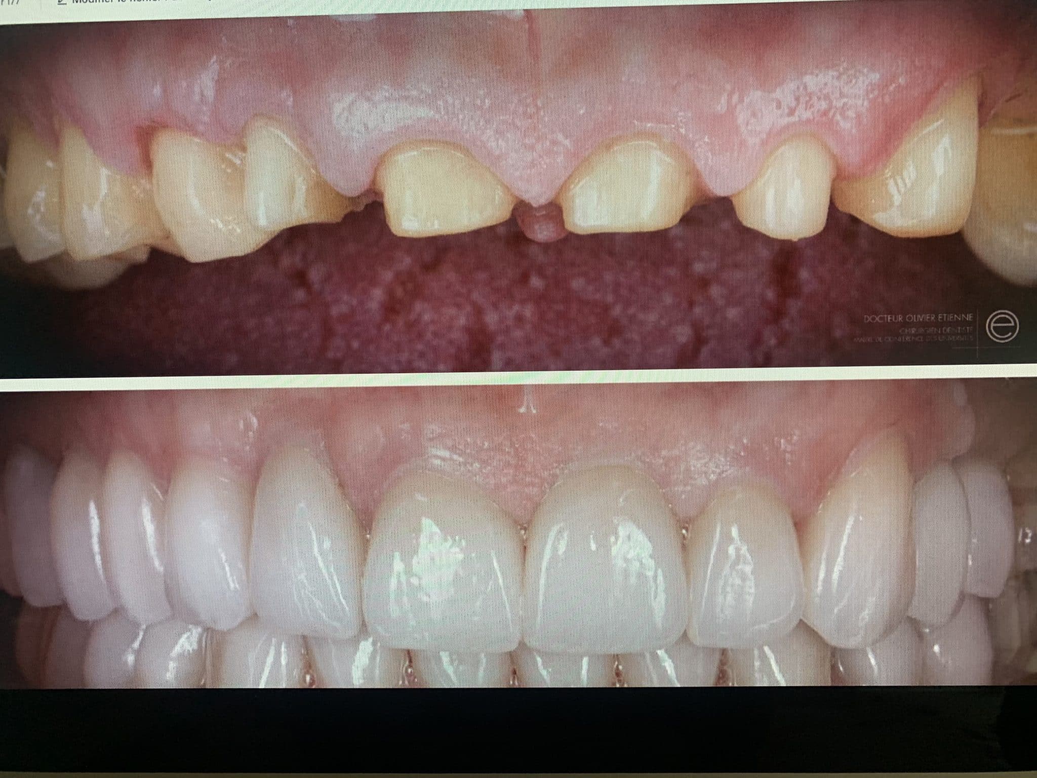
LE COLLAGE EN OMNIPRATIQUE

Le Jeudi 21 MARS 2024

Animée par le Dr Olivier ÉTIENNE

Ce fut une journée exceptionnelle, comme d’habitude avec Olivier ÉTIENNE, la recherche est toujours au service de la clinique.
Conférencier particulièrement brillant Olivier sait transmettre ses connaissances et son goût pour l’excellence.
Les échanges furent nombreux et nous sommes repartis avec des notions précises sur le collage et le désir d’améliorer nos pratiques.

Ce que disent les participants :
« Merci pour cette journée je me sens plus confiant »
« Une mise au point à faire régulièrement »

Taux de satisfaction : 98%

Participants : 58

Docteur Jean-Pierre JOSEPH
Président ADFOC31

LA PRESCRIPTION MÉDICAMENTEUSE EN ODONTOLOGIE

Le Jeudi 29 FÉVRIER 2024

Animée par le Dr Vianney DESCROIX

Un petit groupe autour d’un conférencier d’exception, des échanges de qualité, cette MasterClass fut une journée exeptionnelle. Les participants ont eu à leur disposition l’ensemble des règles de bon usage des médicaments nécessaires à l’exercice de la médecine bucco-dentaire.

Ce que disent les participants :
« merci pour ce cours particulier »
« une mise à jour indispensable pour exercer en toute sécurité »
« l’humour du conférencier fait passer de nombreux messages »

Taux de satisfaction : 97%

Participants : 27

Docteur Jean-Pierre JOSEPH
Président ADFOC31

L'HYPNOSE MÉDICALE AU CABINET DENTAIRE

UNE PREMIÈRE APPROCHE

Le Jeudi 7 DÉCEMBRE 2023

Animée par le Dr Vianney DESCROIX

Cette formation avait pour objet de proposer une première approche pratique de l’hypnose et de ses indications, d’en découvrir les fondements neurologiques et psychologiques, d’en étudier les principales indications en médecine bucco-dentaire.

Ce que disent les participants :
« un conférencier captivant »
« la découverte d’un univers »
« merci de prévoir une formation pratique »

TAUX DE SATISFACTION 96 %

Participants : 34

 : 

Docteur Jean-Pierre JOSEPH
Président ADFOC31

LA SANTÉ ORALE DE L'ENFANT ET DE L'ADOLESCENT

TOUT CE QU'IL FAUT INTERCEPTER

Le Jeudi 16 NOVEMBRE 2023

Animée par le Dr Élisabeth DURSUN

Dans cette journée il à été envisagé toutes les pathologies que le jeune patient peut rencontrer lors de deux grandes périodes : celle en denture temporaire puis celle en denture mixte et permanente via une présentation structurée puis des discussions autour de cas cliniques, a permis de répondre aux questions saillantes que les praticiens se posent au quotidien, mais aussi d’attirer l’attention sur certains points méconnus, pourtant notables, dans la prise en charge des jeunes patents.

Ce que disent les participants :
« merci pour cette journée, ça fait du bien de revoir les bases »
« quel plaisir de se retrouver, merci l’Adfoc31 « 

TAUX DE SATISFACTION  : 96%

Participants : 29

Docteur Jean-Pierre JOSEPH
Président ADFOC31

RÉHABILITATIONS PROTHÉTIQUES DE GRANDES ÉTENDUES

DE L'ANALYSE A LA MISE EN ­­ŒUVRE

Le Jeudi 12 OCTOBRE 2023

Animée par le Dr Antonin HENNEQUIN et le Professeur Florent DESTRUHAUT cette journée exceptionnelle était une formation agréée  DPC. Nous étions 75 à participer à cette formation de haut niveau que nos deux conférenciers ont sus rendre abordable et passionnante.
La première partie fut consacrée à l’analyse des critères occluse-architecturaux dans les réhabilitations orales de grandes étendues.
Une deuxième partie était consacrée à la mise en œuvre des prothèses transitoires aux prothèses d’usages de grandes étendues.
La troisième partie traitait de la réussite des prothèses implantaires.

Grace à des QCM en directe avec l’application « Socrative » la journée fut constamment animée et ludique ; ce fut une grande réussite.

Ce que disent les participants :
« une formation de très haut niveau »
« un duo très bien rodé »

TAUX DE SATISFACTION  : 96%

Participants : 75

Docteur Jean-Pierre JOSEPH
Président ADFOC31

ERGONOMIE et POSTUROLOGIE GESTES ET POSTURE AUTOUR DU FAUTEUIL

GESTES ET POSTURE AUTOUR DU FAUTEUIL

Le Jeudi 21 SEPTEMBRE 2023

Jean-Philippe VERGNES spécialiste en évaluation ergonomique a animé cette soirée avec une énergie communicative qui a galvanisé l’assistance. Chirurgiens-Dentistes, Assistantes et Étudiants ont répondu présent, nous étions 43 autour du fauteuil installé par la Société Gorriz.
Les règles de postures pour les dentistes et les assistantes ont été expliquées par des mises en situation. Espérons que les étudiants présents prendront de bonnes habitudes dès le début de leurs exercices.
Nous nous sommes retrouvés autour du fauteuil pour suivre des démonstrations et apprendre les bonnes postures.

Un Cocktail Dînatoire a conclu cette soirée

Ce que disent les participants :
« un conférencier super dynamique »
« une formation qui devrait faire partie de la formation initiale »

TAUX DE SATISFACTION  : 92%

Participants : 39

Docteur Jean-Pierre JOSEPH
Président ADFOC31

LA PRESCRIPTION MÉDICAMENTEUSE EN MÉDECINE BUCCO-DENTAIRE :

IDENTIFIER LES RISQUES MÉDICAUX

Le Jeudi 22 JUIN 2023

Qui mieux, que le Dr Vianney DESCROIX pouvait traiter de la prescription médicamenteuse ? Chirurgien-dentiste et pharmacien, il maîtrise parfaitement ce sujet et l’expose avec humour et précision. 52 consœurs et confrères ont pu échanger avec le conférencier qui fait toujours preuve d’une grande générosité. Un conférencier brillant comme d’habitude, une assistance attentive dans une ambiance joyeuse, ce fut une très belle journée de formation.

Ce que disent les participants :
« un super conférencier très abordable »
« une formation indispensable, à renouveler régulièrement »
« un exposé très clair, bravo »

TAUX DE SATISFACTION  : 95%

Participants : 43

Docteur Jean-Pierre JOSEPH
Président ADFOC31

LA GESTION DU CABINET DENTAIRE : QUELLE ARCHITECTURE JURIDIQUE CHOISIR POUR ÊTRE EFFICACE

Le Jeudi 13 AVRIL 2023

Yorick CHAUVIÈRE et toute l’équipe de la Société D6D sont venus nous apprendre à choisir la bonne stratégie pour mieux gérer notre cabinet dentaire. Optimiser sa fiscalité, ce n’est pas compliqué, c’est déjà passer d’une situation subie à une situation choisie. C’est possible en changeant d’architecture juridique.

Nous avions volontairement limité le nombre de participants à 20 afin de favoriser les échanges et de permettre à chacun de repartir avec une solution personnalisée.

CE FUT UN GRAND SUCCÈS et les échanges furent nombreux autour du buffet en fin de soirée.

Ce que disent les participants :
« formation très nouvelle dans le fond et la forme »
« beaucoup d’informations très pratiques »
« conférencier très dynamique »

TAUX DE SATISFACTION : 90%

Participants : 20

96 % des participants considèrent qu’ils ont acquis de nouvelles connaissances directement applicables

Docteur Jean-Pierre JOSEPH
Président ADFOC31

SAVOIR S'ORIENTER DEVANT UNE ANOMALIE DE LA MUQUEUSE BUCCALE

 Le Jeudi 9 FÉVRIER 2023

Le Dr Emmanuelle Vigarios, praticien spécialiste des Centres de Lutte contre le cancer, a animé cette journée avec la conviction et la compétence des grands conférenciers. Le chirurgien-dentiste est le professionnel de santé le plus à même d’examiner la muqueuse buccale, en pratique courante, un examen négligé ou incomplet peut nous faire passer à côté de précieux indices. 

Au cours de cette journée interactive nous avons abordé la démarche clinique et para clinique permettant d’aboutir à un diagnostic lésionnel à partir de situations cliniques concrètes illustrées. Les étudiants présents ont brillamment participé et ont bien compris la dimension médicale de notre profession.

Ce que disent les participants :
« formation très précise »
« beaucoup d’informations »
« conférencier très pédagogue »

TAUX DE SATISFACTION : 95%

Participants : 27

96 % des participants considèrent qu’ils ont acquis de nouvelles connaissances

Docteur Jean-Pierre JOSEPH
Président ADFOC31

LA DENTISTERIE ADHÉSIVE EN OMNIPRATIQUE : INDICATIONS ET PROTOCOLES CLINIQUES

 Le Jeudi du 8 DÉCEMBRE 2022

Le Dr Olivier ÉTIENNE, conférencier brillant et généreux a fait une mise au point exhaustive sur la dentisterie adhésive.

Nous étions 90 à participer à cette magnifique formation qui entrait dans le cadre du DPC.

Toujours fidèle à l’ADFOC 31, OLIVIER reviendra dans un an pour la suite de cette formation et nous parler d’inlay, d’overlay, de facettes…

Ce que disent les participants :
« conférencier exceptionnel »
« une formation très précise »
« une très bonne formation pour faire le point sur ce sujet »

TAUX DE SATISFACTION : 97%

Participants : 90

Docteur Jean-Pierre JOSEPH
Président ADFOC31

CHIRURGIEN-DENTISTE ET ORTHODONTISTE, UNE COLLABORATION AU SERVICE DE NOS PATIENTS

Le 6 OCTOBRE 2022

Omnipraticiens, Orthodontistes qualifiés et Étudiants étaient présents pour assister à cette journée exceptionnelle consacrée à     l’ODF.

Le Dr Obacch-Dejean, véritable chef d’orchestre d’une équipe composée des Drs Garnaud, Marty et Mengelle, nous ont décliné un panorama complet de l’orthodontie en 2022. Le Dr Solyom, chirurgien Maxillo-Facial indisponible ce jour là était présent en vidéo pour nous exposer la chirurgie orthognathique moderne au service de réhabilitations pluridisciplinaires complexes.

Participants : 33

Taux de satisfaction 90%

Docteur Jean-Pierre JOSEPH
Président ADFOC31

L'ENVIRONNEMENT RÉGLEMENTAIRE DU CABINET DENTAIRE

Le 16 JUIN 2022

25 consœurs et confrères ont participé à cette MasterClass animée par Marc SABEK le spécialiste Français de ce sujet.

Une approche rationnelle fut le point central de la démarche pédagogique de cette journée : ni énumération d’une litanie de règles, ni culpabilisation mais une approche dynamique positive pour intégrer le respect des règles et leur mise en œuvre par une démarche volontaire.

Grâce à ses compétences, sa rigueur et la qualité de son écoute Marc SABEK à su nous captiver ; une expérience à renouveler.

Taux de satisfaction 85 %

Participants : 25

Docteur Jean-Pierre JOSEPH
Président ADFOC31

LES DYSFONCTIONS TEMPORO-MANDIBULAIRES - COURS ET TP

Lundi 28 MARS 2022 & lundi 11 AVRIL 2022

Une formation complète animée par une équipe pluridisciplinaire dirigée par le Docteur Antonin HENNEQUIN

Taux de satisfaction : 87 %

Participants :25

Docteur Jean-Pierre JOSEPH
Président ADFOC31

CAS CONCRETS DE DERMATOLOGIE BUCCALE EN OMNIPRATIQUE

 La dermatologie buccale : le chirurgien dentiste en première ligne !

Soirée du 17 MARS 2022

 

55 praticiens et 25 étudiants étaient présents pour étudier des cas concrets de dermatologie buccale présentés par le Docteur Emmanuelle VIGARIOS.

Ce ne fut pas un cours magistral mais bien une soirée inter active qui a permis à chaque participant d’exprimer son avis, ses doutes et ses demandes à propos de ce sujet primordial. Le chirurgien-dentiste est en première ligne pour examiner et dépister les anomalies de la muqueuse buccale ce qui valorise son exercice et engage sa responsabilité.

Par sa connaissance parfaite du sujet, le Dr VIGARIOS  a su captiver l’auditoire et rendre cette soirée particulièrement instructive et conviviale.

Après 3 heures de formation nous nous sommes retrouvés autour d’un buffet et avons décidé à l’unanimité de reconduire cette formation dans le programme de 2023.

Docteur Jean-Pierre JOSEPH
Président ADFOC31

Taux de satisfaction 95 %

Participants 55 praticiens et 25 étudiants

LES FACTEURS INFLUENTS SUR L'EFFICACITÉ DE LA STÉRILISATION

La stérilisation est la pierre angulaire de notre exercice

Le 27 JANVIER 2022

 

Assistantes et praticiens étaient réunis pour assister au cours du Docteur Patrick BONNE, spécialiste de ce sujet fondamental.

Le but de cette journée était de nous fournir des pistes d’amélioration sur tous les facteurs influents qui peuvent perturber le résultat parfait de la stérilisation.

Un chapitre sur les conditions d’exercice en période d’épidémie a fait le point sur les stratégies à adopter pour travailler en toute sécurité.

Humour et compétence, deux qualités qui caractérisent notre conférencier qui a remporté l’adhésion de toutes les assistantes et de tous les praticiens.

Taux de satisfaction : 85 %

Participants 25 praticiens et 5 assistantes

Docteur Jean-Pierre JOSEPH
Président ADFOC31

Contact

Pour toute demande d’information, veuillez compléter le formulaire      ci-dessous
ou contacter le secrétariat au
07 85 30 61 36

Formulaire en ligne